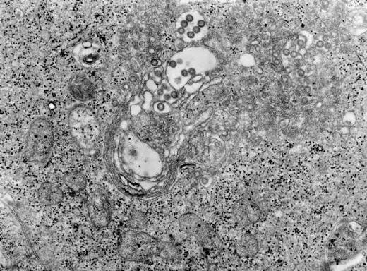
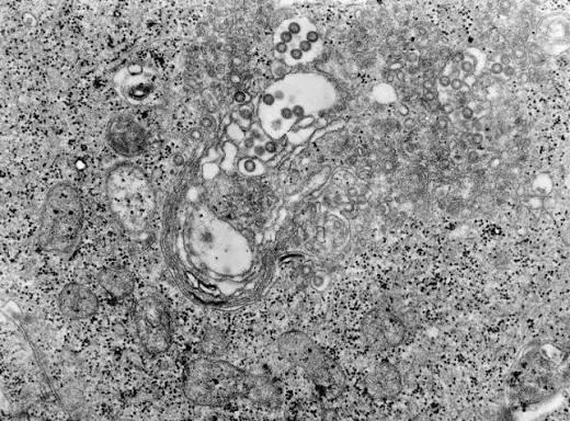
أعلنت منظمة الصحة العالمية تسجيل 46 حالة إصابة بحمى الوادي المتصدع في موريتانيا بين الـ 27 سبتمبر والـ 30 أكتوبر 2025، منها 14 حالة وفاة، ما يمثل نسبة 30 بالمائة.
وأوضحت المنظمة، في تحديث صادر عنها، أن الحالات أُبلغ عنها في عدة ولايات، من بينها ثلاث حدودية هي: لعصابه على الحدود مع مالي جنوباً، ولبراكنه واترارزة على الحدود مع السنغال بمحاذاة النهر.
وأشارت المنظمة إلى أن ظهور المرض في هذه الولايات الحدودية يثير مخاوف من احتمال انتشاره إقليمياً خارج حوض نهر السنغال، عبر حركة الماشية.


